顯微成像·洞察微觀之美

Microscopic imaging, insight into the beauty of micro

首頁 行業動態 客戶案例 明美生物顯微鏡:病理與毒理組織切片研究的好幫手

明美生物顯微鏡:病理與(yu) 毒理組織切片研究的好幫手

發布時間:2024-11-28

訪問量:222

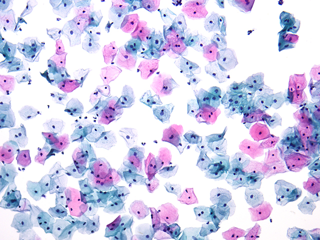
近期,有客戶針對組織切片拍照觀察提出了特定需求。其主要應用集中在病理和毒理生物組織切片的觀察拍照,因而急需一台帶成像功能的生物顯微鏡。這要求顯微鏡能夠清晰地呈現組織切片的微觀結構,準確捕捉每一個(ge) 關(guan) 鍵細節,以便為(wei) 後續的分析診斷提供可靠依據。


明美提出了生物顯微鏡ML31 搭配高像素攝像頭解決(jue) 方案生物顯微鏡ML31 具備良好的光學性能,能夠提供清晰、穩定的成像基礎。而與(yu) 之搭配的大靶麵高像素相機更是如虎添翼,在明場拍照時可以呈現出清晰的圖像效果。


同時,生物顯微鏡ML31采用 LED 光源,使用方便,無需像傳(chuan) 統光源那樣進行複雜的預熱和調光操作,科研人員隻需簡單開啟,即可迅速投入到組織切片的觀察中。而且,LED 光源的維護成本低,大大降低了儀(yi) 器的長期使用成本。這對於(yu) 長期進行大量組織切片觀察拍照工作的實驗室和科研機構來說,無疑是一個(ge) 非常重要的優(you) 勢。


生物顯微鏡ML31不僅(jin) 滿足了客戶對於(yu) 組織切片成像清晰、使用便捷、維護經濟的需求,更在生物醫學研究領域為(wei) 科研人員提供了強有力的技術支持。

免責聲明

本站無法鑒別所上傳(chuan) 圖片、字體(ti) 或文字內(nei) 容的版權,如無意中侵犯了哪個(ge) 權利人的知識產(chan) 權,請來信或來電告之,本站將立即予以刪除,謝謝。

微信分享

微信掃描二維碼,點擊右上角 ··· 按鈕

轉發給朋友或分享到朋友圈

電話谘詢

Tel:18926121210
微信二維碼

微信谘詢

微信

分享微信

TOP